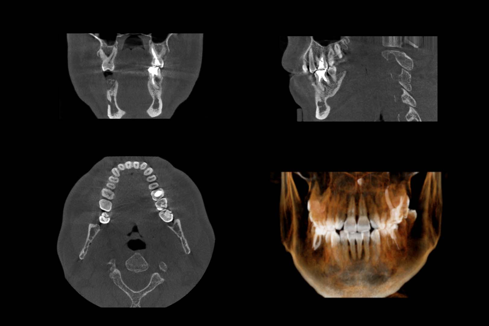
What is a Cone Beam CT Scan?
A cone beam CT scan involves a special type of x-ray that allows us to see the details of your oral and facial health. This scan is more than just a typical x-ray, since it allows us to identify nerve pathways, soft tissue and bone before providing you with treatment. This gives us a clear view of your oral health so that treatment is easier and more effective for you. The scan takes just seconds in our office and provides us with a highly detailed image.
Why might a Cone Beam CT Scan be needed?
Most often, you'll need a CT scan be fore you have oral surgery performed in our office. This is because the CT scan allows us to identify soft tissues, bone and even nerves that could come into play when performing a surgical procedure. You might even need to have this scan done if you come to us with an emergency or when we are trying to find a problem that you're experiencing. The amount of radiation used to produce an image using the CT scan machine is minimal and considered safe and beneficial for most patients.
Who is a candidate for a Cone Beam CT Scan?
Because we use the latest technology available in x-rays and CT scanning machines, you can feel safe and confident having this type of scan done in our office. We will review your medical and health history to determine if a CT scan is right for you. Most of our patients, regardless of age, can safely have the scan done. In fact, the scan is often easier and quicker than typical intraoral dental x-rays.
What happens during a Cone Beam CT Scan?
The process will begin by placing a lead apron over your body before the scan is done. We then have you stand straight in the middle of a larger machine. You will either rest your chin or bite down on a bite bar. The machine will then circle your head, taking images as it turns around. We are provided with this image after just a few seconds and will review it to provide you with the treatment that you need. You can expect to have a CT scan prior to undergoing oral surgery.
If you would like to learn more about CT scans and what they can reveal, call us today so that we can help to answer any and all of your questions.
Want to schedule an appointment?


